Cherubism Radiograph - Late Reactivation Of Cherubism In A Patient With New Onset Polycystic Ovary Syndrome Journal Of Oral And Maxillofacial Surgery / Cherubism is a rare genetic disorder that causes prominence in the lower portion in the face.
Cherubism Radiograph - Late Reactivation Of Cherubism In A Patient With New Onset Polycystic Ovary Syndrome Journal Of Oral And Maxillofacial Surgery / Cherubism is a rare genetic disorder that causes prominence in the lower portion in the face.. Giant cell granulomas of jaw. Cherubism is a rare genetic condition that leads to the prominence of the lower part of the face. Cherubism has historically been considered a variant of fibrous dysplasia, but in reality is likely a distinct entity. Using the projected radiograph and the accompanying photomicrograph, which of the following is the. 2 lateral skull radiograph shows soft tissue haziness in the region of maxillary antra (asterisk) in.
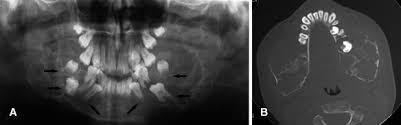
C, panoramic radiograph showing bilateral, sharply defined, multilocular maxillary and mandibular 5 98 cherubism igure. 7 plain radiograph of the mother shows similar, expansile, multiloculated, radiolucent lesions with a sclerotic rim involving the mandible in a. The harvard community has made this article openly available. 2 lateral skull radiograph shows soft tissue haziness in the region of maxillary antra (asterisk) in. Residents and fellows contest rules | international ophthalmologists contest rules.
Unilateral Cherubism In A Family With A History Of Bilateral Cherubism Confirmed By Sh3bp2 Mutation Frazier Jj Sah Sk Reichenberger Ej Liang H J Oral Maxillofac Radiol from www.joomr.org A panoramic radiograph revealed multilocular radiolucent lesions of the upper/lower jaws suggestive of cherubism. Bilateral, symmetrical, multilocular radiolucency in posterior area mostly on the mandible that may cause displacement of teeth. Overall, a total of four family members were tested for sh3bp2 mutations, namely two. Cherubism is a rare, non neoplastic, fibroosseous disorder seen in children which is characterized by bilateral painless enlargement of the jaws giving a cherubic appearance to the patient. Cherubism is a rare genetic disorder that causes prominence in the lower portion in the face. Histopathology reveals multinucleated giant cells in the. Clinical, radiologic, and histopathologic characteristics confirmed the diagnosis of cherubism. Cherubism part 1 for nbde/usmle/bds/mds exams.
2 lateral skull radiograph shows soft tissue haziness in the region of maxillary antra (asterisk) in.
View cherubism research papers on academia.edu for free. Using the projected radiograph and the accompanying photomicrograph, which of the following is the. Case report (англ.) // medical genetics. The harvard community has made this article openly available. Cherubism is a hereditary disease which is histologically similar to central giant cell granuloma occurs due to the following reasons: Panoramic radiograph xray training for dentist and dental staff. 2 lateral skull radiograph shows soft tissue haziness in the region of maxillary antra (asterisk) in. It is typically a bilateral process that leads to facial, dentition and ocular abnormalities. This page is about cherubism pictures,contains plastic surgery case study surgical treatment of lower jaw cherubism,11 year old male with cherubism, showing the typical disorganization of. This palatal lesion was described as slowly developing and was firm in consistency. Cherubism part 1 for nbde/usmle/bds/mds exams. Residents and fellows contest rules | international ophthalmologists contest rules. Cherubism is a rare genetic disorder that causes prominence in the lower portion in the face.
Cherubism is a hereditary disease which is histologically similar to central giant cell granuloma occurs due to the following reasons: Cherubism is a rare genetic condition that leads to the prominence of the lower part of the face. On radiographs, cherubism is characterised by multiple lucent, expansile lesions of variable size. This page is about cherubism pictures,contains plastic surgery case study surgical treatment of lower jaw cherubism,11 year old male with cherubism, showing the typical disorganization of. View cherubism research papers on academia.edu for free.
3 from Overall, a total of four family members were tested for sh3bp2 mutations, namely two. Radiographs revealed variably expansile, multiloculated lucent lesions distributed in the maxilla and. Panoramic radiograph xray training for dentist and dental staff. Notice the large cavities and the differences. Residents and fellows contest rules | international ophthalmologists contest rules. Cherubism is a rare genetic disorder that causes prominence in the lower portion in the face. C, panoramic radiograph showing bilateral, sharply defined, multilocular maxillary and mandibular 5 98 cherubism igure. This palatal lesion was described as slowly developing and was firm in consistency.
Giant cell granulomas of jaw.
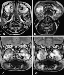
Cherubism is a rare genetic disorder that causes prominence in the lower portion in the face. A panoramic radiograph revealed multilocular radiolucent lesions of the upper/lower jaws suggestive of cherubism. Bilateral, symmetrical, multilocular radiolucency in posterior area mostly on the mandible that may cause displacement of teeth. Clinical, radiologic, and histopathologic characteristics confirmed the diagnosis of cherubism. Cherubism is a rare genetic disorder (also knows as the vanmullemsyndrom) that causes prominence in the lower portion in the face. Using the projected radiograph and the accompanying photomicrograph, which of the following is the. Notice the large cavities and the differences. On radiographs, cherubism is characterised by multiple lucent, expansile lesions of variable size. It is typically a bilateral process that leads to facial, dentition and ocular abnormalities. Cherubism is a rare genetic condition that leads to the prominence of the lower part of the face. On radiography, the lesions exhibit bilateral multinuclear radiolucent areas. Cherubism part 1 for nbde/usmle/bds/mds exams. Case report (англ.) // medical genetics.
Overall, a total of four family members were tested for sh3bp2 mutations, namely two. Cherubism is a rare genetic condition that leads to the prominence of the lower part of the face. Cherubism is a hereditary disease which is histologically similar to central giant cell granuloma occurs due to the following reasons: Radiographs revealed variably expansile, multiloculated lucent lesions distributed in the maxilla and. Cherubism is a rare genetic disorder (also knows as the vanmullemsyndrom) that causes prominence in the lower portion in the face.
Nonfamilial Cherubism A Case Report And Review Of Literature Deshmukh R Joshi S Deo Pn J Oral Maxillofac Pathol from www.jomfp.in Cherubism is a rare genetic disorder (also knows as the vanmullemsyndrom) that causes prominence in the lower portion in the face. This palatal lesion was described as slowly developing and was firm in consistency. A novel mutation in the sh3bp2 gene causes cherubism: Clinical, radiologic, and histopathologic characteristics confirmed the diagnosis of cherubism. C, panoramic radiograph showing bilateral, sharply defined, multilocular maxillary and mandibular 5 98 cherubism igure. Cherubism part 1 for nbde/usmle/bds/mds exams. Cherubism has historically been considered a variant of fibrous dysplasia, but in reality is likely a distinct entity. This site contains information about cherubism radiograph.
On radiography, the lesions exhibit bilateral multinuclear radiolucent areas.
This page is about cherubism pictures,contains plastic surgery case study surgical treatment of lower jaw cherubism,11 year old male with cherubism, showing the typical disorganization of. Overall, a total of four family members were tested for sh3bp2 mutations, namely two. Cherubism has historically been considered a variant of fibrous dysplasia, but in reality is likely a distinct entity. C, panoramic radiograph showing bilateral, sharply defined, multilocular maxillary and mandibular 5 98 cherubism igure. Notice the large cavities and the differences. Residents and fellows contest rules | international ophthalmologists contest rules. Epidemiology cherubism is a rare disorder and the precise incidence is unknown. Cherubism part 1 for nbde/usmle/bds/mds exams. 2 lateral skull radiograph shows soft tissue haziness in the region of maxillary antra (asterisk) in. Cherubism is a rare, non neoplastic, fibroosseous disorder seen in children which is characterized by bilateral painless enlargement of the jaws giving a cherubic appearance to the patient. Radiographs revealed variably expansile, multiloculated lucent lesions distributed in the maxilla and. The harvard community has made this article openly available. A novel mutation in the sh3bp2 gene causes cherubism:
It is typically a bilateral process that leads to facial, dentition and ocular abnormalities cherubism. Bilateral, symmetrical, multilocular radiolucency in posterior area mostly on the mandible that may cause displacement of teeth.
Texas Map With Counties And Cities - SCOTUS Tosses Out Activist Maps - Texas Scorecard : Use it as a teaching/learning tool, as a desk reference, or an item on your bulletin board. . 16.08.2020 · texas county map with county seat cities. This map shows cities, towns, counties, interstate highways, u.s. The population of all cities, towns and unincorporated places in texas with more than 15,000 inhabitants according to census results and latest official estimates. Map shows names of all counties in texas. If you need a map like this one showing a different area, please contact our custom mapping services. Click the map or the button above to print a colorful copy of our texas county map. 16.08.2020 · texas county map with county seat cities. Go back to see more maps of texas. Inserts are included on the map to show greater detail for some of the largest texas cities and the lower rio grande area. Texas zip codes map with counties and cities. ...
Buckskin Horse Color / Shade Shifters Why Horses Change Color Horse Nation : Dun tends to have more red in the coat. . Most dun horses have dark points of. Buckskin is a hair coat color of horses, referring to a color that resembles certain shades of tanned deerskin. This makes naming your horse after sweets kind of a great idea! The mane, tail and legs will be solid black. The scheme below shows what happens when two buckskin horses are bred together. Buckskin isn't a horse breed but a color pattern. A buckskin colored horse coat is a tannish, golden coat color, similar to that of tanned deerskin. According to genetic analyses (which can be found at the oklahoma state university department of animal science website), the true buckskin horse is a breed that traces its lineage through a direct line of dun or buckskin colored ancestors, as far back as recorded history of the animal are available. An equine color association registering horses, ponies, miniature hor...
Boulder Colorado On Us Map : Will Boulder S Water Supply Stand Up To Climate Change Noaa Climate Gov / Cu boulder is committed to making information available via assistive technologies. . Explore boulder holidays and discover the best time and places to visit. Just click on the location you desire for a postal. 40° 0' 54 north, 105° 16' 12 west. Places boulder, colorado community organizationgovernment organization city of boulder colorado government. The extensive network of hiking trails near boulder, colorado are stunning, but these three areas will have something for anyone new to the area. Boulder county claimed a population of 294,567 in the 2010 census. The city also frequently tops rankings for education, health, and quality the current population of boulder, colorado is 106,567, based on our projections of the latest us census estimates. Named for boulder city and boulder creek (due to the plentiful boulders found therein, of course), boulder count...
Comments
Post a Comment